
HQ-Vision™ provides clearer images by mitigating the characteristics of ultrasound images that are slightly blurred than the actual vision.
S-Harmonic™ reduces signal noise and provides more uniform ultrasound images by improving near to far image clarity.
ClearVision provides clearer tissue boundaries using the noise reduction filter and generates sharp 2D images. It reduces halo artifact that occurs when the tissue contour is enhanced, and removes noises on the tissue boundaries.
MultiVision controls ultrasound beam electronically by steering, and compounds many scan lines for better image. MultiVision provides remarkable spatial and contrast resolution with even greater artifact suppression than ever before.

The feature, which analyzes selected lesions in the breast ultrasound study and shows the analysis data, applies BI-RADS ATLAS* (Breast Imaging-Reporting and Data System, Atlas) to provide standardized reporting; and helps diagnosis with the streamlined workflow.
* It is a registered trademark of ACR and all rights reserved by ACR.
E-Strain™ is designed to enable quick and easy calculation of the strain ratio between two regions of interest for day-to-day practice. Simply by setting the two targets, you can receive accurate, consistent results and make informed decisions in many types of diagnostic procedures.
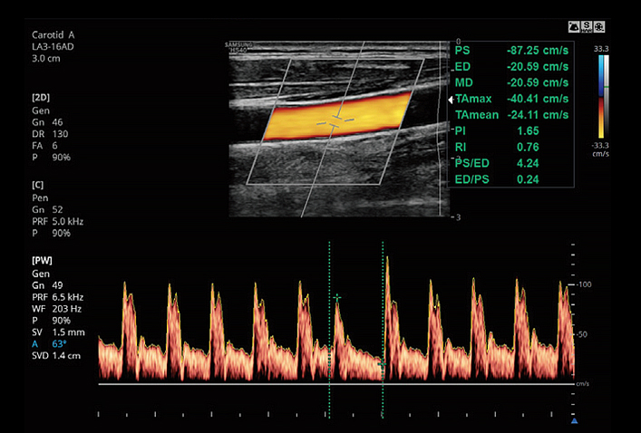
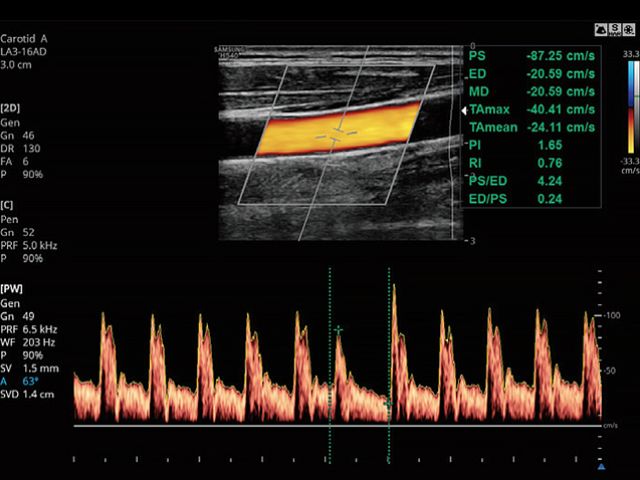
AutoIMT+ is a screening tool to analyze a patient's potential risk of cardiovascular disease. It allows easy intima-media thickness measurement of both the anterior and posterior wall of the common carotid by the click of a button.
With pinpoint precision, NeedleMate+™ delineates needle location when performing interventions such as nerve blocks. Improved accuracy and efficiency in the procedure are possible with beam steering added to NeedleMate™
Panoramic imaging displays as an extended field-of-view so users can examine wide areas that do not fit into one image as a single image. Panoramic imaging also supports angular scanning from linear transducer data acquisition.
Strain+ is a quantitative tool for global and segmental wall motion of the left ventricle (LV). In Strain+, three standard LV views and a Bull's Eye are displayed in a quad screen for easy and quick assessment of the LV-function.
NerveTrack™ is a function that detects and provides information of the location of nerve area in real-time during ultrasound scanning.
The StressEcho package includes wall motion scoring and reporting.
It includes exercise StressEcho, pharmacologic StressEcho, diastolic StressEcho and free programmable StressEcho.
![]() |
![]() |
![]() |
![]() |
![]() |
CA1-7ADApplication:Abdomen, Obstetrics, Gynecology, Musculoskeletal, Pediatric, Vascular, Urology |
C2-8Application:Abdomen, Obstetrics, Gynecology, Pediatric, Musculoskeletal, Vascular, Urology |
CA2-8ADApplication:Abdomen, Obstetrics, Gynecology, Pediatric, Musculoskeletal, Vascular, Urology, Emergency |
CA4-10MApplication:Pediatric, Vascular, Abdomen, Obstetrics, Gynecology, Musculoskeletal, Urology, Emergency |
C2-5Application:Abdomen, Obstetrics, Gynecology, Pediatric, Musculoskeletal, Vascular, Urology |
![]() |
![]() |
![]() |
![]() |
![]() |
LA3-16ADApplication:Small parts, Vascular, Musculoskeletal, Abdomen, Obstetrics, Gynecology, Pediatric, Emergency |
LN5-12Application:Small parts, Vascular, Musculoskeletal, Abdomen, Obstetrics, Gynecology, Pediatric |
L5-12/50Application:Small parts, Vascular, Musculoskeletal, Abdomen, Obstetrics, Gynecology, Pediatric |
LS6-15Application:Small parts, Vascular, Musculoskeletal, Abdomen, Obstetrics, Gynecology, Pediatric |
LA2-9SApplication:Abdomen, Obstetrics, Gynecology, Musculoskeletal, Small parts, Vascular, Pediatric |
![]() |
![]() |
|||
VN4-8Application:Abdomen, Obstetrics, Gynecology, Musculoskeletal, Pediatric, Vascular, Urology |
EV2-10AApplication:Obstetrics, Gynecology, Urology |
![]() |
![]() |
|||
EVN4-9Application:Obstetrics, Gynecology, Urology |
ER4-9Application:Obstetrics, Gynecology, Urology |
![]() |
![]() |
![]() |
||
PA3-9BApplication:Abdomen, Cardiac, Vascular, Pediatric, TCD, Emergency |
PN2-4Application:Abdomen, Cardiac, Vascular, Pediatric, TCD, Emergency |
SP3-8Application:Abdomen, Cardiac, Vascular, Pediatric |
![]() |
||||
DP2BApplication:Cardiac, Vascular |
![]() |
||||
MMPT3-7Application:Cardiac |
![]()